脊椎外科手術

頚椎・腰椎の加齢変性による狭窄症やすべり症、椎間板ヘルニア、圧迫骨折など様々な脊椎脊髄疾患への手術治療を行います。術前画像シミュレーション、手術用顕微鏡、術中透視を用いて安全で確実な手術を常に心がけます。また低侵襲治療を心がけ、対象の疾患には顕微鏡や経皮的椎弓根スクリューを用いた小さな傷での治療を行います。執刀は全て手術経験豊富な専門医が行います。当院は脊椎手術に関しては2024年度345件、2025年も350件を超える手術件数(12月13日時点)と圏内トップクラスの手術件数となっています。特に重症の椎間板ヘルニアやすべり症、脊柱管狭窄に対して適応のあるOLIF(*LLIF(側方経路腰椎椎体間固定術)の変法)と呼ばれる新しい最小侵襲脊椎固定術の件数は2024年全国2位(*メーカー調べ)の161件で、2025年も200件に及ぶ治療を実施しており、日本国内トップレベルの手術件数です。

経皮的椎体形成術(BKP)

高齢患者様の圧迫骨折ではこれまで保存的治療が中心となってきましたが、長期のベッド上安静によって著しい筋力低下をきたし、歩行の再開が困難、あるいはリハビリが長期に及ぶことも少なくありません。経皮的椎体形成術(BKP)では、胸腰椎の圧迫骨折に対して骨セメントを骨折した椎体に注入することで除痛、骨折部位の安定化を図ります。
BKPは3mm程度の非常に小さな傷からの治療が可能です。痛みが続く場合、比較的早期にこの治療を行うことで患者様の日常生活への早期復帰を促します。痛みが術後から改善することで多くの患者様は翌日から術前よりも動くことが出来るようになります。手術は全身麻酔下に行われ、手術時間は通常約30分です。

経皮的椎体形成術実例(*患者様の許可を得て掲載しています)

胸椎圧迫骨折

胸椎圧迫骨折後、遷延する腰痛と骨癒合不良を認めていた椎体に対してBKPを実施しています。治療後レントゲン画像では椎体内に注入された骨セメントと椎体高が改善していることが確認できます。腰痛改善し術翌日に退院となっています。

頚椎症性頸髄症、頸椎椎間板ヘルニアの手術治療

加齢による靭帯の肥厚や椎体の変性・ヘルニアによって頸髄への圧迫が起きると様々な神経症状を起こします。手指の細かな動きの制限、上肢の痛みや脱力、足の痛み痺れやもつれなど様々な症状の原因となります。当院では頚椎椎間板ヘルニア、頚椎症性脊髄症に対し頚椎の前面から椎間板にアプローチする頚椎前方固定術、頚椎の後方からアプローチする椎弓形成術を経験豊富な執刀医が行います。いずれの術式を選択するかは患者様の頚椎の形状や、圧迫の方向、頚髄への圧迫の範囲などによってより良い方法を選択いたします。前方固定術は一椎間当たり手術時間約30-40分、入院期間は5日前後です。椎弓形成術は手術時間約60~90分、入院期間は7-10日です。

頚椎固定術実例(*患者様の許可を得て掲載しています)

頚椎症性椎間孔狭窄、椎間板ヘルニア、頚椎後湾

両上肢から肩にかけての痛み、頸部痛の患者様に対してC4/5/6の頚椎前方固定術を実施しました(赤丸)。術後には狭小化していた椎間高が回復し、さらに術前には同部位で頚椎の後弯(頚椎が後ろに凸となり頭が前に下がる状態)が認められていましたが、術後は頚椎の並び(アライメント)が改善しています。また、同時にこの断面では見えていませんが椎間孔も上下に拡張することで術後にあった肩から上腕への痛みが術後消失しています。

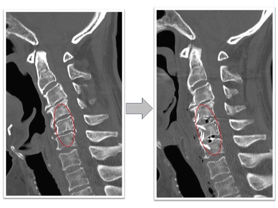
頚椎椎弓形成術実例(*患者様の許可を得て掲載しています)

頚椎症性脊髄症

上肢の運動障害、歩行障害の患者様に対して頚椎椎弓形成術を実施。術後MRI画像で頚髄の圧迫が解除され頚髄前後にスペースが生まれています(図赤丸)。また、CT画像では術前後の比較で脊柱管の前後幅が約1.5倍以上に拡大していることが確認できます(図青矢印)。術後は歩行安定し、上肢運動も改善しています。

胸腰椎脊柱管狭窄症・変性すべり症・椎間板ヘルニア・椎体破裂を伴う圧迫骨折など

腰椎脊柱管狭窄・変性すべり症の治療は最も一般的な脊椎外科手術です。治療には狭窄部の脊柱管を拡大する徐圧術(椎弓切除・形成術)と、椎体間固定を行う各種固定術があります。固定術では不安定性を要因とする神経圧迫症状の改善、椎間高の上昇による間接的な徐圧、すべりの矯正を行うことが出来ます。当院では患者様それぞれの神経症状、狭窄の程度、すべりの有無、年齢、骨質、既往症などを総合的に判断し患者様本人ご家族との相談の上で術式を選択します。徐圧術では拡大鏡・顕微鏡を用いて可能な限り小さな傷での低侵襲治療を行ないます。また、固定術についても様々な低侵襲手術(MIS手術)が可能です。椎体破裂による脊髄圧迫を伴う圧迫骨折などの重症の状態に対しても専用デバイスを用いた椎体置換術を始めとした高度な脊椎外科治療が可能です。

低侵襲な固定術

経皮的椎弓根スクリュー(PPS)を用いたMIS手術

1〜1.5cm程度の小切開から術中透視を用いて椎体間固定のための経皮的椎弓根スクリュー(PPS)の刺入が可能です。このPPSを用いて低侵襲な椎間固定術(MIS―TLIFなど)が可能です。平均手術時間は椎間固定一椎間あたり約60~90分、入院期間は7~10日程度です。尚、腰椎の固定術後、骨癒合が得られるまでのしばらくの期間はコルセットの着用ならびにゴルフなどの腰部を強く回旋、あるいは屈曲する運動は制限する必要があります。

側方経路腰椎椎体間固定術(LLIF)

側腹部から後腹膜経由で直接椎体側面にアプローチする固定術です。脊椎後方の筋群を温存したまま大型のケージで椎体間固定を行うことが可能です。これらの術式はXLIFやOLIFとも呼ばれ、従来の後方からの固定術と比較して出血が少ない、背部の筋層へのダメージが少ないなど様々なメリットがあります。通常の後方からの固定術と異なり、主な手術の傷は側腹部に5〜10cm程度となります。専用の手術器具と本術式の経験豊富な執刀医が行います。OLIFに関して当院は2024年150件(全国2位、メーカー調べ)、2025年200件超と国内トップクラスの手術症例数です。

腰椎固定術実例(OLIF症例、*患者様の許可を得て掲載しています)

椎間板ヘルニア(図1)

体動困難を伴う激烈な下肢痛に対してL4/5の固定術を実施。術前に認められていたL4/5の椎間板ヘルニアがOLIFによる固定術後、間接除圧効果などによって消失しています(図1、赤丸)。レントゲンでは椎間ケージと腰椎L4とL5を固定する椎弓根スクリューが確認できます(図1、下段)。本症例の傷は左わき腹に4-5cmと、背部のスクリュー刺入部位に2㎝弱の傷が4つとなります。術後、痛みは消失しました。

図1

腰椎すべり症+椎間板ヘルニア(図2)

下肢痛で来院し歩行困難のため手術となりました。術前認められていたL3/4の椎間板ヘルニアがOLIFによる固定術後消失(赤丸)、またL4/5に認められていた変性すべり症による椎体のずれ、不安定性も術後は元の脊椎の並びに矯正された状態で固定されています(黄丸)。術後は症状消失し、元通り歩行可能となりました。

図2

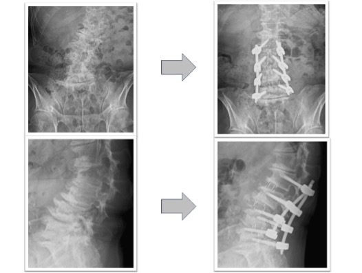
変性側弯を伴う多椎間の椎間板ヘルニア、脊柱管狭窄症(図3,4)

下肢痛、歩行障害、腰痛で来院、手術となりました。術前後のレントゲンで3椎間のOLIFによって術後側弯症が改善され、脊椎の並び(アライメント)が矯正されています(図3)。また、術前後のMRIでは施術した部位の椎間板ヘルニアおよび脊柱管狭窄がOLIFの間接除圧効果によって改善し、神経への圧迫が解除されています(図4)。術後は歩行可能、下肢痛腰痛も改善、また結果として数センチ身長が回復しています。

図3

図4

腰椎除圧術実例(棘突起縦割り式椎弓形成術*患者様の許可を得て掲載しています)

下肢痛、臀部痛、歩行障害で来院。本症例では腰背部の傍脊柱筋群を出来る限り温存する目的で棘突起縦割式の椎弓形成術を実施しています。椎弓の一部や肥厚した黄色靭帯を除去することによって神経への圧迫が解除されています(図6赤丸)。また、ドリルやノミで削除された骨をハイドロキシアパタイト製人工骨によって再建する術式も実施しています。同術式では従来の除圧術で削除される骨(図7赤△の部位)を再建することでより生理的な骨や背部筋群の構造を復元し、且つ、再手術が必要になった場合には同部位の癒着を防ぐことで安全性を高める意義があります。

図5

図6

椎間板ヘルニア摘出術

当院では痛みや痺れを引き起こす椎間板ヘルニアに対して顕微鏡下での低侵襲な摘出術を行います。顕微鏡下の手術では内視鏡による摘出術(1−2cmの皮膚切開)より若干大きな皮膚切開(3−4cm程度)となりますが、より短時間での治療が可能です。一椎間あたりの手術時間は約40分、入院期間は7~10日です。

椎間板内酵素(ヘルニコア)注入療法

椎間板内に酵素を含んだ薬(ヘルニコア)を注射することで髄核の保水成分が分解され、結果的にヘルニアによる神経圧迫を減らし、症状を改善する治療法です。神経根ブロックと同様に、注射のみでの治療が可能なため傷は針穴のみです。局所麻酔での治療が可能で半日〜1泊の短期入院治療となります。一般的に症状軽快の有効率は7割程度とされていますが、ヘルニアの突出方向や大きさ、患者様の年齢や状態によって当治療の適応や推奨程度が変わること、また治療効果の発現までにはある程度の期間を要する場合がありますので、ご希望の方は外来でご相談ください。